このブログを検索
2019-08-21
臨床では意外にレアケースが続きます!
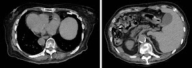
発熱で入院した高齢者(>90歳)のスクリーニング心電図
つい
先日の症例
と同様に,
胸部誘導でR波の減高+Ⅰ誘導で陰性のP・QRS・T波
熱源検索のために行ったCTで完全内臓逆位(complete situs inversus)を確認した
関連投稿
🉐
カルタゲナー症候群 Kartagener syndrome
右胸心 vs 右胸痛
(投稿者 川崎)
0 件のコメント:
コメントを投稿
‹
›
ホーム
ウェブ バージョンを表示
0 件のコメント:
コメントを投稿