このブログを検索
2019-01-08
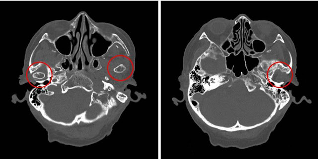
画像クイズ(転倒後)
左側顎関節脱臼
と診断(図の
赤丸部分
の左右差に注目)
開口や閉口は可能で,疼痛もなく食事摂取も可能であった
下顎は無歯顎で義歯を使用しているため咬合も支障なし
整復は行わずに経過観察(今回の転倒との関連は不明)
👴
教訓
頭部CTでは顎関節も忘れずにチェック ➜
類似症例
(投稿者 川崎)
0 件のコメント:
コメントを投稿
次の投稿
前の投稿
ホーム
登録:
コメントの投稿 (Atom)
0 件のコメント:
コメントを投稿